
Менингеальный синдром представляет собой комплекс симптомов, указывающих на воспаление оболочек головного и спинного мозга. Этот синдром возникает при различных патологических состояниях, таких как менингит, паразитарные инфекции или злокачественные новообразования. Важно понимать, что менингеальный синдром не является самостоятельным заболеванием, а лишь отражает наличие определенной проблемы, требующей диагностики и лечения.
Основными механизмами развития менингеального синдрома считаются инфекционные, воспалительные и травматические процессы. Эти факторы могут привести к раздражению менингов, что проявляется клиническими симптомами. Среди них наблюдаются головные боли, ригидность затылочных мышц и неврологические расстройства, что требует пристального внимания со стороны медиков.
Применение современных методов исследования, таких как МРТ головного мозга, позволяет более точно выявить причины менингеального синдрома. Обращение к специалистам при появлении первых симптомов крайне важно, так как ранняя диагностика способствует более эффективному лечению и снижению риска осложнений.
Причины и симптомы заболевания
Менингеальный синдром может возникать по различным причинам. Среди основных факторов, способствующих развитию этого состояния, можно выделить:
- Инфекции.
- Травмы.
- Злокачественные опухоли.
- Паразитарные болезни.
Симптомы менингеального синдрома включают:
- Головные боли: сильные, пульсирующие боли, часто усиливающиеся при движении.
- Ригидность затылочных мышц: трудности с наклоном головы вперед.
- Светобоязнь: дискомфорт или боль в светлом помещении.
- Неврологические расстройства: включая спутанность сознания или потерю сознания.
- Тошнота и рвота: часто возникают из-за повышения давления внутри черепа.
Такие симптомы могут варьироваться по степени выраженности, однако их наличие требует немедленного обращения к врачу для диагностики и последующего лечения.
Диагностика
Диагностика менингеального синдрома является важным этапом для определения его происхождения и разработки эффективного плана лечения. Основное внимание при выявлении данного синдрома уделяется тщательному сбору анамнеза, который помогает специалисту понять возможные причины возникновения состояния. Врач учитывает наличие предыдущих инфекций, возможные травмы головы и другие факторы, которые могут способствовать развитию менингита или других заболеваний.
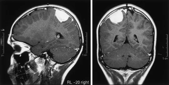
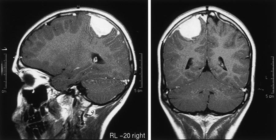
Важным инструментом для диагностики служат визуализирующие методы, среди которых наибольшее значение имеет МРТ головного мозга. Это исследование позволяет получить подробные изображения мозга и его оболочек, что даёт возможность определить наличие воспалительных процессов, опухолей или других аномалий. Кроме того, необходимо провести анализ ликвора, который может выявить инфекционные агенты и признаки воспаления.
Также могут быть использованы лабораторные методы, такие как общий анализ крови, чтобы оценить состояние иммунной системы и наличие воспалительных процессов. Все эти исследования в совокупности помогают поставить окончательный диагноз и начать адекватное лечение, что особенно важно для предотвращения возможных осложнений.
Лечение менингеального синдрома
Лечение менингеального синдрома направлено на устранение его причины и облегчение симптомов. В зависимости от этиологии состояния могут применяться различные методы. К основным подходам относятся:
- Антибиотикотерапия: при бактериальном менингите назначаются антибиотики для борьбы с инфекцией.
- Противовирусные препараты: используются в случае вирусной этиологии синдрома, особенно при менингите, вызванном вирусами.
- Кортикостероиды: применяются для уменьшения воспаления, что может помочь при выраженном отеке тканей.
- Обезболивание: для снижения уровня боли применяются нестероидные противовоспалительные препараты, а в некоторых случаях – наркотические анальгетики.
- Госпитализация: в тяжелых случаях может потребоваться стационарное лечение с постоянным мониторингом состояния пациента.
Эффективность лечения во многом зависит от своевременной диагностики и начала терапии, что позволяет избежать серьезных осложнений и восстанавливать здоровье пациента.
Прогноз и профилактика
Прогноз при менингеальном синдроме зависит от его причины и своевременности лечения. В большинстве случаев, если синдром вызван инфекцией и пациент получает адекватную терапию, восстановление происходит полностью, особенно если лечение начато на ранних стадиях. Однако в некоторых ситуациях возможны серьезные осложнения, такие как неврологические расстройства или хронические симптомы, особенно при запущенном менингите или наличии сопутствующих заболеваний.
Профилактика менингеального синдрома включает несколько ключевых аспектов. Прежде всего, вакцинация является важным методом профилактики инфекционных заболеваний, которые могут вызвать менингит, например, вакцинация против менингококковой, пневмококковой и гемофильной инфекции. Также следует соблюдать меры предосторожности для предотвращения травм головы, как-то использование защитного снаряжения при занятиях спортом.
Регулярное укрепление иммунной системы, соблюдение правил личной гигиены и своевременное лечение инфекционных заболеваний также играют значительную роль в профилактике менингеального синдрома. Обращение за медицинской помощью при первых признаках заболевания поможет предотвратить серьезные осложнения и улучшить прогноз.




