
КТ с контрастом — это важный метод диагностики, который позволяет врачам более точно оценить состояние внутренних органов и тканей. В Москве существует множество медицинских учреждений, предлагающих данную услугу. Одним из популярных мест проведения процедур является КТ на Дмитровском шоссе, где работают современные аппараты и квалифицированные специалисты.
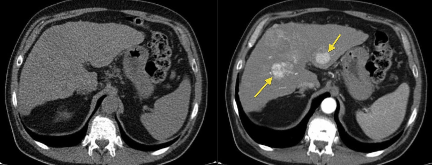
Основная задача контрастного вещества — улучшение визуализации ранее недоступных структур. Это важно, так как одно лишь использование стандартных рентгеновских волн может не дать полной картины. Контраст помогает выделить сосуды, опухоли и другие патологические изменения, что способствует более точной постановке диагноза.
КТ с контрастом в Москве рекомендуется при сложных случаях, когда есть необходимость в детальном изучении органов. Подобные процедуры часто применяются в онкологии, кардиологии и гастроэнтерологии. Правильная интерпретация снимков возможна лишь при использовании надлежащего контраста, что делает этот метод незаменимым в современной диагностике.
Когда применяется контрастное вещество
Контрастное вещество используется в компьютерной томографии для улучшения визуализации различных структур и тканей. Применение контраста особенно актуально в ситуациях, когда необходимо выявить мелкие изменения, которые могут быть незаметны на обычных снимках. Чаще всего контраст используют при исследовании сосудов, органов брюшной полости и головного мозга.
Одной из основных причин назначения КТ с контрастом являются подозрения на наличие опухолей. Контраст помогает обнаружить новообразования, которые не всегда видно при стандартной КТ. Кроме того, он используется для оценки степени воспалительных процессов, таких как аппендицит или панкреатит, когда требуется детальный осмотр пораженных тканей.
Контрастное вещество также применяется при изучении сосудистых заболевание. В случае подозрений на тромбы или аневризмы, контраст значительно повышает вероятность обнаружения этих состояний. Кроме того, его применяют для диагностики заболеваний легких, таких как пневмония или опухоли, что является особенно важным в условиях современных реалий здравоохранения.
В чем разница с контрастом и без?
Использование контрастного вещества в компьютерной томографии существенно изменяет качество получаемых изображений. Ниже представлены основные различия между КТ с контрастом и без него:
Визуализация анатомических структур:
- КТ с контрастом позволяет лучше выделять мягкие ткани, сосуды и новообразования.
- Без контраста может быть сложно различить похожие на первый взгляд структуры.
Определение патологий:
- Контраст помогает в выявлении опухолей, воспалительных процессов и аневризм, которые могут быть скрыты при обычном исследовании.
- Без контраста диагностическое исследование может не выявить ранние стадии заболеваний.
Качество снимков:
- Снимки, сделанные с использованием контраста, имеют более высокую четкость и контрастность.
- КТ без контраста может показывать размытые или непробиваемые участки, затрудняя интерпретацию.
Быстрая диагностика:
- Результаты с контрастом позволяют врачам быстрее принимать решения о лечении, основываясь на более полной информации.
- КТ без контраста может требовать дополнительных исследований для уточнения диагноза.
Объём обследования:
- Использование контраста расширяет объем обследуемой области, охватывая большее количество органов одновременно.
- КТ без контраста чаще ограничивается исследованием определенной области или органа.
Эти факторы делают контрастное исследование более информативным и необходимым в ряде клинических ситуаций.
Как подготовиться к КТ с контрастом в Москве
Подготовка к компьютерной томографии с контрастом имеет важное значение для получения качественных результатов и обеспечения безопасности пациента. Первоначально рекомендуется проконсультироваться с врачом о необходимой подготовке. Обычно за 24–48 часов до процедуры следует придерживаться ряда рекомендаций.
Во-первых, необходимо обсудить с врачом наличие аллергий, особенно на контрастные вещества, содержащие йод. Если ранее у пациента были реакция на контраст, стоит сообщить об этом. В некоторых случаях может потребоваться альтернативный вид исследования. Если аллергий не было, то накануне процедуры может понадобиться ограничить потребление пищи и жидкости, особенно если планируется внутривенное введение контраста.
Кроме того, важно заранее пройти лабораторные тесты, такие как анализ крови на уровень креатинина. Это необходимо для оценки функции почек. Почки играют ключевую роль в выведении контрастного вещества, и при нарушениях могут возникнуть осложнения. В день процедуры нужно прийти в медицинское учреждение в удобной одежде и с документами, удостоверяющими личность.
Также рекомендуется отложить прием некоторых препаратов, таких как метформин, если пациент страдает от диабета. Врач может дать конкретные указания по этому поводу. Обязательно стоит взять с собой результаты предыдущих обследований, если они имеются, чтобы врач мог оценить динамику состояния здоровья. Следуя этим рекомендациям, можно существенно повысить безопасность и эффективность исследования.
Противопоказания
КТ с контрастом является информативным исследованием, однако у него есть ряд противопоказаний, которые необходимо учитывать перед проведением процедуры. Ниже приведены основные противопоказания:
- Аллергия на контрастные вещества: Наличие аллергии на йодсодержащие препараты может стать причиной серьезных реакций.
- Проблемы с почками: у пациентов с нарушенной функцией почек существует риск дальнейшего ухудшения состояния при введении контрастного вещества.
- Беременность: Введение контраста может негативно сказаться на развитии плода, поэтому при беременности данный метод не рекомендуется.
- Тяжелые заболевания сердечно-сосудистой системы: Пациенты с тяжелыми сердечными патологиями могут испытывать дополнительные риски при проведении процедуры.
- Гипертиреоз: Контрастное вещество может усугубить состояние пациентов с заболеваниями щитовидной железы.
- Заболевания печени: Патологии печени могут ограничить возможность безопасного использования контраста.
Тщательное обследование и обсуждение всех противопоказаний с врачом помогут избежать нежелательных последствий и обеспечить безопасность процедуры.




